
젊고 탄력 있는 피부의 핵심은 콜라겐!
하지만 나이가 들수록 콜라겐이 감소하면서
피부 두께가 줄고, 탄력이 떨어지며, 피부 결이 거칠어지는 변화를 경험하게 됩니다.
레드터치 프로는 통증 부담 없이 콜라겐 생성을 유도하여
피부 속 탄력이 차오르고 건강한 피부 결을 되찾을 수 있습니다.
콜라겐 생성으로 젊고 건강한 피부
모공, 잔주름, 피부결 개선
기미/색소, 홍조 치료
타이트닝 효과
레드터치
프로를 확인하세요!
새로운 프로 버전은 짧은 시간 안에 충분한 에너지를,
충분한 밀도로 전달할 수 있습니다.
또한, 기존 스탬핑 방식에 더해 무빙 방식이 추가되어
피부 타입과 부위별 맞춤 시술이 가능해졌습니다.
부족했던 밀도와 시간의 한계를 보완해 더욱 완성도 높은 결과를 제공합니다.
하이엔드 콜라겐 레이저
레드터치 프로 2대 보유
연속해서 장비 1대만을 사용하는 경우 시술에서 중요한
쿨링 기능의 문제 등 장비 성능이 떨어질 수 있습니다.
또한 시술 스케줄에 쫓기다 보면 꼼꼼하게 시술을 할 수 없는
상황이 발생하기도 합니다.
뮬피부과는 무리하게 시술 일정을 잡지 않고
레드터치 프로 2대로 운영하여
최적화된 장비 컨디션으로 최상의 시술 결과를 보장합니다.
레드터치 프로는 최초의 675nm 파장 레이저로 피부 속 콜라겐을 자극해
스킨부스터·콜라겐부스터 시술처럼 피부 속 탄력을 되살립니다.
마취가 필요 없고, 통증이 거의 없어 민감한 피부도 부담 없이 시술 가능합니다.
STEP 01.
675nm의 붉은 레이저가
피부에 균일하게 침투
STEP 02.
피부 진피층 내 콜라겐, 엘라스틴에
선택적으로 흡수
STEP 03.
콜라겐 섬유의 즉각적 수축 유발
STEP 04.
콜라겐 변성 및 생성 유도
STEP 05.
새롭고 건강한 콜라겐 생성
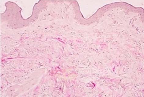
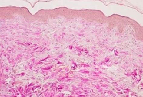
콜라겐 섬유의 밀도와 구조가 개선된 것을 확인할 수 있습니다.
시술전
시술 30일 후

콜라겐에 흡수율이 높은 파장을 이용해 확장된 혈관을 직접 타깃 합니다.
혈관벽을 구성하는 콜라겐을 자극하여 붉은 기를 완화하고, 피부 톤을 고르게 개선합니다.
모세혈관 확장으로 인한 홍조 개선
피부 톤 균일화
기미·탄력 치료와 함께 복합적인 피부 개선
레드터치 프로는 피부 탄력 관리와 함께 홍조 치료까지
한 번에 잡을 수 있는 차세대 레이저입니다.
레드터치 프로의 675nm 파장은 멜라닌 색소에도 반응해 기미, 주근깨, 잡티, 색소침착을 개선합니다.
동시에 콜라겐을 자극해 피부 구조를 건강하게 회복시키므로, 탄력과 피부 톤을 동시에 개선할 수 있습니다.
기미·주근깨·
잡티 완화
색소침착 개선
피부 톤 개선
써마지, 울쎄라피 프라임, 소프웨이브, 엠페이스 등
하이엔드 장비에 대한 시술 경험과 끊임없는 연구와 투자로,
시술의 완성도를 높이고 새로운 에너지를 적재적소에 활용하는
탁월한 시술 역량을 보유하고 있습니다.
상담 실장과의 면담만으로 시술하는 일은 없습니다.
다양한 요소를 종합적으로 고려하여 정확하게 진단하고
개인의 피부 조건과 목표에 맞게 원장님이 직접
맞춤형 시술 계획을 수립합니다.
모든 시술은 프라이빗한 1인실에서 진행되며
담당 매니저가 병원에 온 순간부터 시술 후 관리까지
원활한 진행을 전담해서 도와드립니다.